WhatsApp Max VK Telegram Задать вопрос
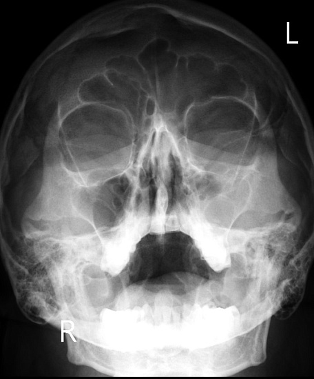
Рентгенография придаточных пазух носа

Рентгенография придаточных пазух носа

Рентгенография придаточных пазух носа – важный метод обзорного исследования состояния придаточных пазух носа.

Диагностическая услуга выполняется в одной проекции.

Показания к проведению рентгена придаточных пазух:

  • подозрение на наличие патологии придаточных пазух носа: заложенность носа, головные боли, зеленое отделяемое, частые рецидивирующие воспалительные заболевания пазух;
  • для исключения в пазухах острого или хронического воспалительного процесса, наличия кист, полипов, оценки развития системы придаточных синусов носа;
  • рентгенография также позволяет оценить положение носовой перегородки.

Для предотвращения и своевременного выявления проблем рекомендуется проходить регулярные профилактические осмотры у специалистов. Важно не игнорировать симптомы и обращаться за медицинской помощью при необходимости.

Обратитесь к профессионалам наших медицинских центров для проведения этой процедуры и получения квалифицированной медицинской помощи.

Подготовка к рентгену придаточных пазух:

Специальной подготовки к проведению исследования не требуется.

Как проводится рентген придаточных пазух?

Перед тем, как занять место в рентгеновской установке, исследуемый снимает с себя все металлические украшения, очки и съемные зубные протезы (если они есть).

Процесс проведения медицинских исследований в нашей сети осуществляется оперативно и эффективно.

Сканирование выполняется в течение 10 минут, что позволяет быстро получить необходимую информацию.

Результаты исследования обычно готовы в течение дня, но при острой патологии они могут быть предоставлены сразу.

Врачи
Арутюнян Сюзанна Санасаровна
Врач УЗД, Рентгенолог
Врач второй категории
Прием детей с 0 лет
Филиалы
Тула, ул. Рязанская, д. 1
Время работы пн-пт 8.00-21.00 сб-вс 9.00-21.00
Ваш браузер устарел рекомендуем обновить его до последней версии
или использовать другой более современный.